Zirkonyum kron restorasyonları, dişlerin doğal formunu ve fonksiyonunu geri kazandırmak amacıyla, zirkonya (zirkonyum dioksit) adı verilen seramik esaslı, dayanıklı ve estetik materyallerden üretilen diş kaplamalarıdır. Dişin çevresine yapılan çevresel preperasyon (inceltme) işlemi sonrasında, diş yüzeyine yapıştırılarak uygulanırlar.
Zirkonyum kronlar, dişin tamamını çevreleyen ve dış yüzeyine yerleştirilen sabit protetik restorasyonlardır. Estetik açıdan doğal bir görünüm sunarken, aynı zamanda çiğneme fonksiyonunu da geri kazandırarak hem görsel hem de yapısal açıdan üstün sonuçlar elde edilmesini sağlar.
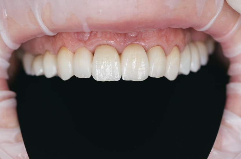
Zirkonyum Kron Nedir?
Zirkonyum kron; metal içermeyen, biyouyumlu ve yüksek dayanıklılığa sahip zirkonyum altyapı üzerine porselen uygulanarak hazırlanan estetik diş kaplamalarıdır. Işık geçirgenliği sayesinde doğal diş görünümüne oldukça yakın bir estetik sunar ve diş eti ile mükemmel uyum sağlar.
Günümüzde zirkonyum kron restorasyonları, estetik beklentisi yüksek olan hastalarda ve gülüş tasarımı uygulamalarında sıklıkla tercih edilmektedir.

Zirkonyum Kron Restorasyonlarının Tedavi Süreci
Zirkonyum kron tedavisi, planlı ve kontrollü bir süreç içerisinde gerçekleştirilir. Tedavi aşamaları aşağıdaki gibidir:
1. Preperasyon (Hazırlık) Aşaması
Zirkonyum kaplama uygulanacak dişlerde, materyalin düzgün ve estetik bir şekilde yerleşebilmesi için diş yüzeyi minimal düzeyde aşındırılarak şekillendirilir. Bu işlem, zirkonyum kronun diş dokusuna tam uyum sağlamasını ve doğal bir görünüm elde edilmesini mümkün kılar.
2. Ölçü Alınması
Preperasyon sonrası dişin yeni formuna uygun ölçüler alınır. Bu ölçüler, laboratuvar ortamında hastaya özel zirkonyum kronun üretilmesi için kullanılır. Ölçü işlemi dijital veya klasik yöntemlerle gerçekleştirilebilir.
3. Geçici Kron Uygulanması
Kalıcı zirkonyum kronlar hazırlanırken, hastanın estetik ve fonksiyonel açıdan konforunu korumak amacıyla geçici kronlar uygulanır. Böylece hasta, tedavi süresi boyunca günlük yaşamını rahatlıkla sürdürebilir.
4. Zirkonyum Kron Simantasyonu
Laboratuvar aşamaları tamamlanan zirkonyum kronlar ağız içerisinde prova edilir. Estetik ve fonksiyonel açıdan uygunluğu değerlendirilen kronlar, siman adı verilen güçlü diş yapıştırıcıları ile dişe kalıcı olarak sabitlenir. Bu işlem, restorasyonun uzun ömürlü ve stabil olmasını sağlar.
Zirkonyum Kronların Avantajları
- Doğal diş görünümüne sahiptir
- Işık geçirgenliği sayesinde estetik bir sonuç sunar
- Diş eti ile mükemmel uyum sağlar
- Metal içermez, alerji riski yoktur
- Yüksek dayanıklılığa sahiptir
- Renk değişimine karşı dirençlidir
- Uzun ömürlü bir restorasyon seçeneğidir
Kimler İçin Uygundur?
Zirkonyum kron restorasyonları;
- Kırık, çatlak veya aşınmış dişlere sahip olanlar
- Renklenmiş ve estetik görünümünden memnun olmayan hastalar
- Eski kaplamalarını yenilemek isteyenler
- Gülüş tasarımı yaptırmak isteyen kişiler
için ideal bir tedavi seçeneğidir.
Sonuç
Zirkonyum kron restorasyonları, modern diş hekimliğinde estetik ve fonksiyonelliği bir arada sunan güvenilir ve uzun ömürlü bir tedavi yöntemidir. Doğru planlama, kaliteli materyal ve düzenli bakım ile uzun yıllar sağlıklı ve estetik bir gülüş elde etmek mümkündür.
Zirkonyum kron tedavisinin sizin için uygun olup olmadığını öğrenmek için detaylı bir diş hekimi muayenesi gereklidir.
