Diş tedavilerinde tek bir doğru yol olduğuna inanmıyorum.
Her hastanın ihtiyacı, beklentisi ve ağız yapısı farklıdır.
Bu nedenle tüm tedavi planları, muayene sonrası kişiye özel olarak belirlenir.
Aşağıda yer alan tedaviler, kliniğimizde sık uygulanan işlemler hakkında genel bir bilgilendirme sunar.
Detaylı bilgi için ilgili blog yazılarına göz atabilirsiniz.

Diş Taşı Temizliği
Diş taşı temizliği, diş yüzeyinde zamanla biriken ve günlük fırçalama ile uzaklaştırılamayan diş taşlarının, diş ve diş etine zarar vermeden profesyonel yöntemlerle temizlenmesidir. Ağız hijyeninin sağlanması ve diş eti sağlığının korunması için temel bir işlemdir.
Düzenli olarak yapılmayan diş taşı temizliği, diş eti iltihabı, diş eti çekilmesi ve ilerleyen dönemlerde diş kayıplarına yol açabilir. Bu nedenle düzenli kontrollerle birlikte planlanması önerilir.
🔗 Detaylı bilgi için tıklayın

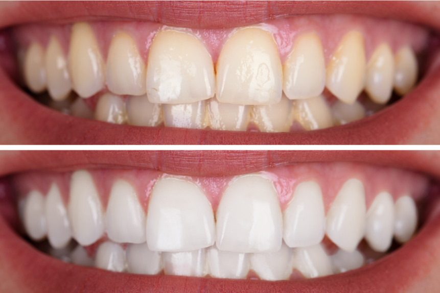
Diş Beyazlatma
Diş beyazlatma, dişlerin zamanla çay, kahve, sigara ve benzeri etkenlerle oluşan renklenmelerden arındırılmasını amaçlayan estetik bir uygulamadır. Diş minesine zarar vermeden, kontrollü ve güvenli yöntemlerle uygulanır.
Uygun hastalarda dişlerin doğal rengini birkaç ton açarak daha aydınlık ve sağlıklı bir gülüş elde edilmesini sağlar. Uygulanacak yöntem ve işlem süreci, diş hekimi muayenesi sonrası kişiye özel olarak planlanır.
🔗Detaylı bilgi için tıklayın

Dolgu & Kanal Tedavisi
Diş dolgusu ve kök kanal tedavisi, diş çürüklerinin ilerleme durumuna göre uygulanan, dişi ağızda tutmayı amaçlayan koruyucu tedavilerdir. Çürük erken dönemde fark edildiğinde, hasarlı doku temizlenerek diş estetik ve dayanıklı dolgu materyalleriyle onarılır.
Çürük ilerleyerek dişin sinir dokusuna ulaştığında ise kanal tedavisi gerekebilir. Bu işlemde enfekte sinir dokusu ve kök kanalları temizlenir, ardından dişin fonksiyonu korunacak şekilde restore edilir. Erken müdahale, diş çekiminin önüne geçilmesinde önemli bir rol oynar.

Diş Çekimi
Diş çekimi, ağızda sağlıklı şekilde kalması artık mümkün olmayan dişlerin, lokal anestezi altında güvenli ve kontrollü biçimde alınması işlemidir. İleri çürükler, diş eti hastalıkları, kırık dişler veya ortodontik tedavi planlaması gibi durumlarda tercih edilebilir.
İşlem sonrası iyileşme süreci genellikle kısa ve sorunsuzdur. Hekimin önerilerine uyulduğunda ağrı ve şişlik minimum seviyede olur ve ağız sağlığının korunmasına katkı sağlar.

İmplant Tedavisi
İmplant tedavisi, eksik dişlerin yerine çene kemiğine yerleştirilen titanyum yapıda yapay diş kökleri ile fonksiyon ve estetiğin yeniden kazandırılmasını amaçlayan bir tedavidir. Doğal dişe en yakın çözümlerden biri olarak kabul edilir.
İmplantlar, çene kemiğiyle kaynaşarak sabit bir yapı oluşturur ve çiğneme fonksiyonunun sağlıklı şekilde geri kazanılmasına yardımcı olur. Uygun hastalarda, doğru planlama ve düzenli kontrollerle uzun yıllar güvenle kullanılabilir.
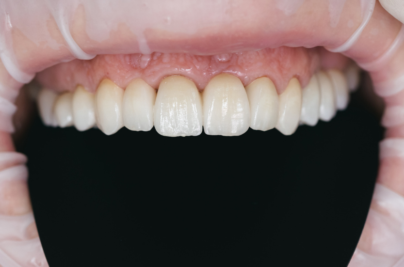
Zirkonyum Kron Restorasyonları

Zirkonyum kron restorasyonları, dişlerin estetik görünümünü ve doğal formunu yeniden kazandırmayı amaçlayan, metal içermeyen sabit kaplamalardır. Doğal dişe çok yakın bir görünüm sunarak gülüş estetiğinde başarılı sonuçlar sağlar. Hem ön hem de arka dişlerde estetik ve dayanıklılığı bir arada sunan bu restorasyonlar, kişiye özel planlama ile uygulanır.

Laminate Veneerler
Laminate veneerler, ön dişlerin estetik görünümünü iyileştirmeye yönelik uygulanan ince porselen kaplamalardır. Dişlerin renginde, şeklinde ve genel görünümünde doğal ve dengeli bir iyileşme sağlamayı amaçlar. Gülüş estetiğinde, diş dokusunu koruyan ve kişiye özel planlanan bir yaklaşımla uygulanır.
🔗Detaylı bilgi için tıklayınız

Bruksizm (Diş Sıkma – Gıcırdatma)
Bruksizm, çene kaslarının tekrarlayıcı aktivitesiyle seyreden, dişlerin sıkılması ve gıcırdatılması ile karakterize edilen parafonksiyonel bir alışkanlıktır. Dişlerde aşınmaya ve çene kaslarında rahatsızlığa yol açabilir. Tedavi planlamasında amaç, dişleri ve çene eklemini korumaya yönelik kişiye özel yaklaşımların belirlenmesidir.
Tam Protezler

Tam protezler, ağızda hiç diş kalmadığı durumlarda uygulanan tedavilerdir. Klasik tam protezler damak ve çene kemiğinden destek alırken, implant üstü tam protezler implant üzerine bağlanan, çok daha sabit ve konforlu protezlerdir.
Her tedavi kişiye özeldir. Uygun tedavi planı, muayene sonrası belirlenir.
Uygun tedavi seçenekleri ve süreç hakkında daha detaylı bilgi almak için bizimle iletişime geçebilirsiniz.
